Menú Cerrar
>" style="enable-background:new 0 0 491.8 491.8;" xml:space="preserve">

Whatsapp

Lesiones

de Cadera

Solicita una consulta
con el Dr. Erick Ramírez

Artroscopia

de cadera

Cirugía mínima invasiva que se realiza haciendo tres puertos alrededor de la cadera por los cuales se introduce una cámara y observamos el interior de la articulación para buscar el daño o problema, también se introducen instrumentos con los cuales se permiten reparar las lesiones.

¿Por qué se realiza?

Está indicada en un paciente adulto joven para diagnosticar y tratar con certeza problemas de bloqueo en la cadera, extracción de cuerpos libres intrarticulares, rupturas de labrum, lesiones del cartílago y choque femoroacetabular.

Cuidados después de la intervención

Edema durante unos días, se permiten las actividades cotidianas en casa y reposo relativo, se inicia terapia física en los primero días, durante los primeros 15 días el objetivo será movilizar la articulación para evitar adherencias, evitar atrofia muscular y disminuir la inflamación.

Resultados esperados

En general, es una técnica igual de efectiva que la cirugía abierta tradicional con menos complicaciones, menos dolor y con recuperación temprana, sin embargo los pacientes de artroscopia presentan una mejor calidad de vida; hay evidencia científica que señalan que es una técnica con mayores resultados y menos complicaciones. El éxito de la cirugía artroscópica de cadera está relacionado con la experiencia del cirujano, por lo que se recomienda realizar este procedimiento en centros y con doctores especializados en artroscopía.

Sin embargo, el tiempo de recuperación no es igual para todos. Tu situación podría requerir un periodo de recuperación más largo y rehabilitación.

Prótesis de cadera

Es también conocida como reemplazo de cadera, la cual consiste en la sustitución de la articulación dañada o un implante de metal, cerámica o plástico que realiza la función de la articulación, mejorando el dolor.

¿Por qué se realiza?

Las indicaciones más comunes son la artrosis o desgaste de cadera en adultos mayores, otras indicaciones son las fracturas de cadera, el daño crónico o infección, artritis reumatoide, secuelas de enfermedades de la cadera o traumatismos, las cuales se presentan en adultos jóvenes y adultos mayores.

Cuidados después de la intervención

El paciente puede caminar desde el mismo día de la cirugía, se da de alta a su domicilio a las 24 horas y puede realizar actividades cotidianas en casa de forma autónoma desde la primera semana. La recuperación parte en un 80% de la función de la cadera en el primer mes, 90% de la función en el segundo mes y 92% - 98% de la función en el tercer mes.

Resultados esperados

Eliminar el dolor en la zona afectada, mejorar la función como es fuerza muscular, movimiento, estbilidad y biomecánica, logrando mejorar la calidad de vida del paciente.

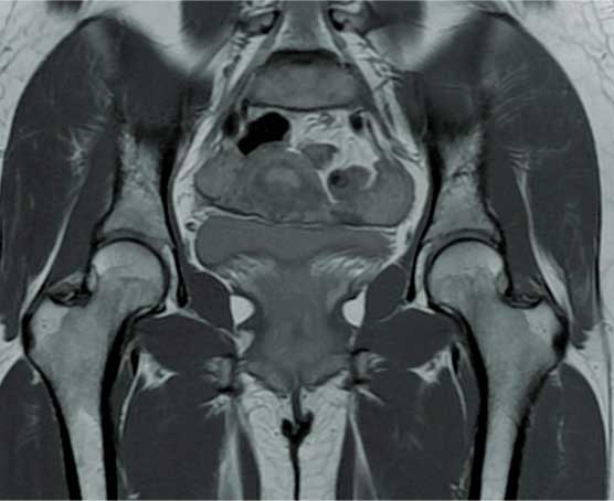
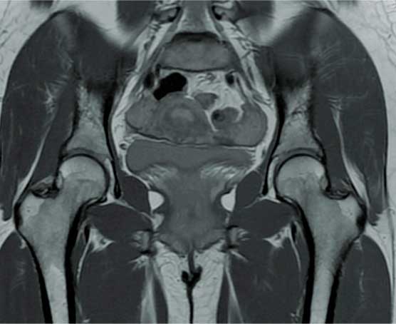
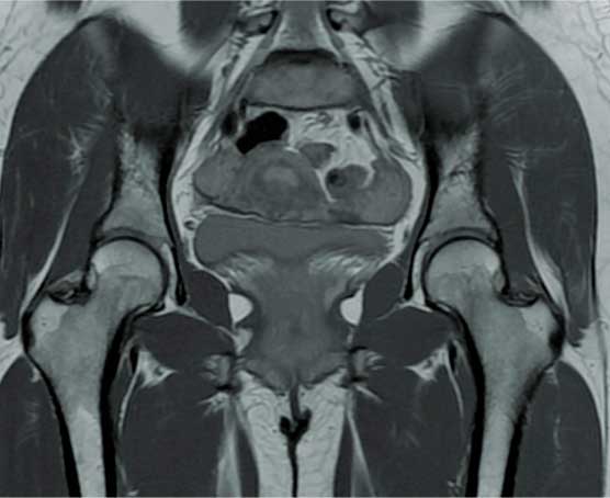
Fractura

de cadera

Es la pérdida de la continuidad del tejido óseo en la articulación de la cadera, producidas por caídas o traumatismos de alta energía, la cual se caracteriza por dolor intenso, incapacidad funcional, chasquidos, acortamiento y rotación de la pierna, el diagnóstico definitivo es por radiografía o tomografía.

¿Por qué se realiza?

El tratamiento en pacientes adultos regularmente es quirúrgico, el cual se realiza con implantes de metal que recuperan la anatomía normal de la articulación similar a la previa fractura, los cuales pueden ser clavos, placas, tornillos o prótesis.

Cuidados después de la intervención

La intención de un tratamiento de fractura siempre es movilizar al paciente lo más pronto posible, los tiempos para movilizar al paciente puede ser desde el primer día del tratamiento hasta algunas semanas dependiendo del tipo de fractura, tipo de paciente y el implante utilizado.

Resultados esperados

El objetivo es recuperar la función previo a la fractura con la misma fuerza, movimiento y estabilidad, esto se puede lograr si se realiza un diagnóstico adecuado y un tratamiento con una buena planeación.

Galería

left-arrow right-arrow
Erick Ramirez Cruz - Doctoralia.com.mx

Contacto

442 784 13 09

Hospital Ángeles Centro Sur Boulevard Bernardo Quintana Arrioja 9670, Blvd. Centro Sur 9800, CP 76090. Santiago de Querétaro, Qro. Piso 22, Consultorio 2235

ver mapa

Hospital MAC San Miguel de Allende piso 1 consultorio 112 Col. Saltito de Guadalupe

ver mapa

Hospital Ángeles de Querétaro piso 3 en Torre de consultorios, consultorio 325 Col. Ensueños

ver mapa

Nombre

Tel

Email

Mensaje